院内セミナー
SEMINAR
インプラント
2024.09.26
第3回 インプラント症例検討会
(報告:仙台・高田馬場リボン歯科・矯正歯科)
リボン歯科グループ内で月2回行われているインプラント症例検討会のWebセミナーです。
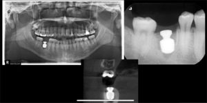
今回のケースはルートメンブレンテクニックを使った症例、抜歯即時埋入における症例の2症例でした。
今回は前歯部における歯根の一部を保存して、唇側の骨を温存するルートメンブレンを使ったインプラント埋入や臼歯部における抜歯即時埋入など難易度が高い症例ばかりでした。
インプラント治療においてどれだけ既存骨が吸収されずに埋入できるかが非常に重要になってくるため、このルートメンブレンテクニックや抜歯即時埋入が大切になってくるため、技術面だけでなく、知識面も深める必要があると感じました。

リボン歯科・矯正歯科ネットワーク
全国に11ヶ所のクリニックと専用の歯科技工所があります。
-
東京
-
東京
-
東京
-
埼玉
-
埼玉
-
埼玉
-
千葉
-
茨城
-
神奈川
-
宮城
-
福岡
-
埼玉


